Корзина
Товаров: 0 на сумму: 0 грн..

Авторизация

Используйте свой логин и пароль для входа
Ваш логин: *
Ваш пароль: *
Забыли пароль?
Доктор Нона (Dr.Nona)
Share
вернуться назад

Перечень заболеваний

Язвенный колит (неспецифический)

Версия для печати

Неспецифический язвенный колит (НЯК) — хроническое воспалительное заболевание слизистой оболочки толстой кишки, возникающее в результате взаимодействия между генетическими факторами и факторами внешней среды, характеризующееся обострениями. Обнаруживается у 35 — 100 человек на каждые 100000 жителей, то есть затрагивает менее 0,1 % популяции. В настоящее время, в англоязычной литературе, более верным термином считается «язвенный колит».

Этиология

Этиология НЯК точно не известна. В настоящее время рассматриваются следующие причины:

1) Генетическая предрасположенность (наличие у родственников болезни Крона или язвенного колита повышает риск развития язвенного колита у пациента). Изучается большое число генов, для которых выявляется связь с развитием заболевания. Однако в настоящее время не доказана роль только генетических факторов, то есть наличие мутаций определенного гена не обязательно вызовет развитие язвенного колита;

2) Использование нестероидных противовоспалительных препаратов длительное время повышает риск развития заболевания. Короткие курсы этих препаратов, вероятно, безопасно;

3) Бактерии, вирусы — роль этих факторов до конца не ясна, однако доказательств на сегодняшний момент нет; Пищевая аллергия (молоко и другие продукты), стресс могут спровоцировать первую атаку заболевания или его обострение, однако не играют роль самостоятельного фактора риска развития язвенного колита. Иммунологические нарушения и аутоиммунизация — один из факторов патогенеза заболевания

Защитные факторы.

1)Считается, что активное курение снижает риск развития язвенного колита и тяжесть течения заболевания. Доказано, что у бросивших курить риск развития язвенного колита возрастает на 70 %. У этих больных тяжесть и распространенность заболевания больше по сравнению с курящими. Однако при повторном возврате к курению у лиц с развившимся заболеванием положительный эффект от курения сомнителен.

2)Аппендэктомия в молодом возрасте по поводу «истинного» аппендицита считается защитным фактором, снижающим риск развития язвенного колита.

Симптомы

  • Частый понос или кашицеобразный стул с примесью крови, гноя и слизи.
  • «Ложные позывы» на дефекацию, «императивные» или обязательные позывы на дефекацию.
  • боль в животе (чаще в левой половине).
  • лихорадка (температура от 37 до 39 градусов в зависимости от тяжести заболевания).
  • снижение аппетита.
  • потеря веса (при длительном и тяжелом течении).
  • водно-электролитные нарушения различной степени.
  • общая слабость
  • боли в суставах

Следует отметить, что некоторые из перечисленных симптомов могут отсутствовать или выражены минимально.

Диагностика

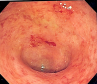
Постановка диагноза язвенный колит в большинстве случаев не вызывает затруднений. Клинически он проявляется наличием крови и слизи в стуле, учащение стула, болью в животе. Объективное подтверждение диагноза происходит после проведения фиброилеоколоноскопии с осмотром подвздошной кишки и гистологическим исследованием биоптатов, до этого момента диагноз является предварительным.

  • В клиническом анализе крови — признаки воспаления (увеличение общего количества лейкоцитов, палочкоядерных лейкоцитов, тромбоцитов, повышение СОЭ) и анемии (снижение уровня эритроцитов и гемоглобина).
  • В биохимическом анализе крови — признаки воспалительного процесса (повышение уровня С-реактивного белка, гамма-глобулинов), анемии (снижение уровня сывороточного железа), иммунного воспаления (повышены циркулирующие иммунные комплексы, иммуноглобулины класса G).

Один из современных маркеров диагностики воспалительных заболеваний кишечника (в том числе и язвенного колита) является фекальный кальпротектин. При обострении его уровень повышается (выше 100—150).

В ряде случаев диагноз язвенного колита может быть выставлен ошибочно. Имитируют это заболевание другие патологии, в частности, острые кишечные инфекции (дизентерия), протозойные инвазии (амебиаз), болезнь Крона, глистные инвазии, рак толстой кишки.

Для исключения инфекций необходимо получить отрицательные бак посевы кала, отсутствие антител к возбудителям в крови. Ряд кишечных инфекций определяются или исключаются путем определения возбудителя методом ПЦР в кале. Этим же методом определяют наличие гельминтов в кале (желательно также проводить определение антител к гельминтам в крови пациента). Необходимо помнить, что выявление гельминтов не исключает диагноз язвенного колита.

Трудным является проведение дифференциальной диагностики между язвенным колитом и болезнью Крона. Язвенный колит поражает только толстую кишку (в редких случаях при тотальном поражении толстой кишки наблюдается ретроградный илеит, когда при илеоколоноскопии выявляется неспецифическое воспаление слизистой подвздошной кишки). Для язвенного колита характерно непрерывное поражение слизистой толстой кишки, тогда как при болезни Крона это чаще всего сегментарное поражение (например, сигмоидит и илеит). Важно также проведение гистологического исследования взятых из разных отделов толстой и подвздошной кишок. Определение специфических антител нередко помогает отличить язвенный колит от болезни Крона. Так, например, антитела к цитоплазме нейтрофилов с перинуклеарным типом свечения (р-ANCA) характерны для язвенного колита (выявляются у 35-85 % пациентов). При болезни Крона их частота составляет 0-20 %, чаще при колите Крона.

Рекомендуемые препараты фирмы «Dr. Nona»:

• «Супсин» (по 1 столовой л. один раз в день).
• «Оксин» (по 2 капсулы два раза в день до еды - длительно).
• «Гонсин» (по 1 пакетику на 1 стакан горячей воды - пить по 1 ста­кану 1 раза в день).
• «Ревмосин» (по 2 капсуле 2 раза в день через 20 минут после еды).
• «Лавсин» (по 1 капсуле утром за 15-20 минут до еды).
• «Ямсин» (по 1 капсуле на ночь).
• «Квартет солей» (солевые ванны по 15-20 минут при t воды 37-39° С с добавлением 2 столовых л. со­ли из баночки).
• «Равсин» (по 2 капсулы 3 раза в день за 5 минут до еды).

вернуться назад
Зарегистрируйтесь и сразу получите
свою персональную скидку
Только зарегистрировавшись у Нас - Вы получаете официальную регистрацию в компании Dr.Nona
Правила регистрации в компании Dr. Nona
Узнать подробнее
Подать заявку на
официальную регистрацию в компании "Dr.Nona"
Фамилия, Имя:*
Дата рождения:*
Ваш действующий e-mail:*
Контактный телефон:*
Страна, город, район, улица:*
Защитный код: *
Проверь свою скидку
в компании "Dr.Nona"
ID дистрибьютора:
Пароль:
В случае если вы дистрибьютор компании,
но у вас нет пароля - обратитесь к руководству компании
drnona@drnona.com.

Все о докторе Нонне

Новости

01 Февраля, 2026
Промоушен с 1-20 февраля 2026 года.
С 1 по 20 февраля 2026 года Компания объявляет следующие акции

Подписаться на рассылку

Видеоматериалы

Видео с Доктором Нонной
Реклама Динамического крема

Отзывы о проведенных мероприятиях

Статьи

Гало Гонсин Limited Edition Гало Гонсин Limited Edition

Этот Гонсин обладает всеми свойствами обычного Гонсина и...

Мыло натуральное Мыло натуральное

Новинка от компании "Dr.Nona" -...

Яндекс.Метрика